Voir la version en ligne

IFCIA - Hadi Antoun

STEP BY STEP SPÉCIAL
Gestion raisonnée d'un défaut osseux et muqueux en secteur esthétique... par le Dr Hadi Antoun 

­
ENVOYEZ-MOI LE CAS CLINIQUE !
­
­

Une introduction à notre session de formation sur Les Implants en Secteur Esthétique des 29 & 30 janvier 2026

­
­

À quelques semaines de Noël, nous avons décidé de vous réserver un cas spécial : « Gestion raisonnée d'un défaut osseux et muqueux en secteur esthétique ».

­
­
­

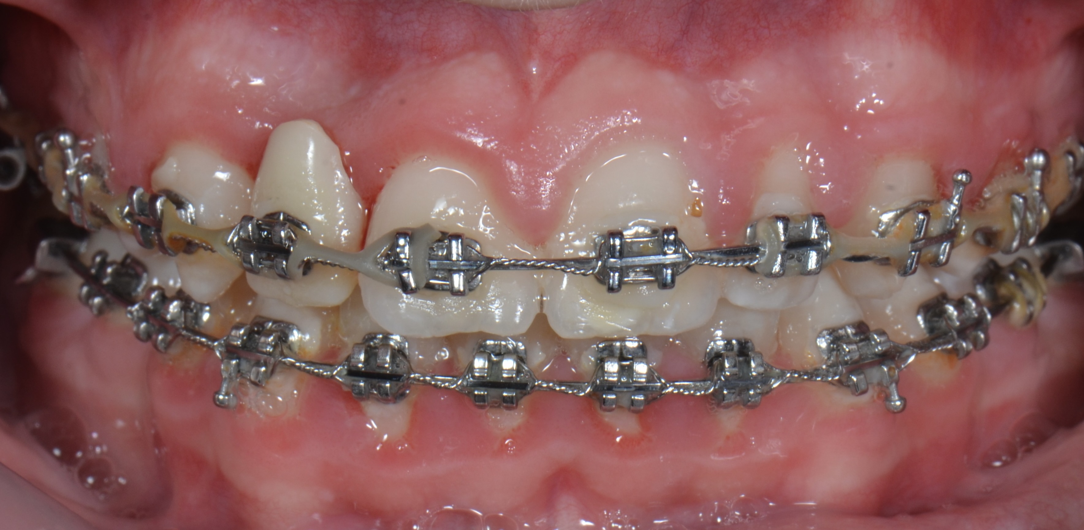
"Un joli défi esthétique chez un jeune patient présentant une agénésie de la 12. Au cours de son adolescence, un traitement orthodontique a permis l’ouverture de l’espace pour une réhabilitation implantaire future. Pendant cette phase, une dent provisoire collée directement sur brackets assurait l’esthétique tout en maintenant l’espace suivi d’un bridge collé provisoire."

­

Le patient était venu en consultation à l’âge de 16 ans et nous lui avions alors recommandé de revenir à l’âge de 21 ans. La réalisation d'un bridge collé, conforme aux normes actuelles, était une option valable ; toutefois, la demande de l'orthodontiste qui nous l'avait adressé, ainsi que celle de sa famille, était claire sur la demande implantaire." [lire la suite]

­
RECEVOIR LE CAS COMPLET PAR EMAIL

Pour celles et ceux qui souhaitent en savoir plus sur le sujet des  Implants en Secteur Esthétique nous vous donnons rendez-vous les 29 & 30 janvier 2026 pour une édition spéciale "Stratégies osseuses, muqueuses et prothétiques" ! Stay tuned !

Je suis intéressé(e) par la formation ISE 2026
­

IFCIA - Hadi Antoun
11 bis avenue Mac-Mahon - 75017 Paris
Tél. : 01 85 09 22 89 | 07 49 69 68 69
contact@ifcia-antoun.com

­
­
­

Vous venez de recevoir la Lettre Dentaire by Dentalformation
La Lettre Dentaire est la lettre de référence de la formation en odontologie diffusée à nos 25k auditeurs. Chaque campagne est dédiée à un seul annonceur !

­ ­ ­
­

Découvrez les formations les plus populaires
Dentalformation accompagne et conseille les sociétés scientifiques
Votre formation mérite d'être vue ! Contactez-nous

­
­ ­ ­
­

Cet email a été envoyé à 

Je ne souhaite plus recevoir la Lettre dentaire