Voir la version en ligne

ICDP

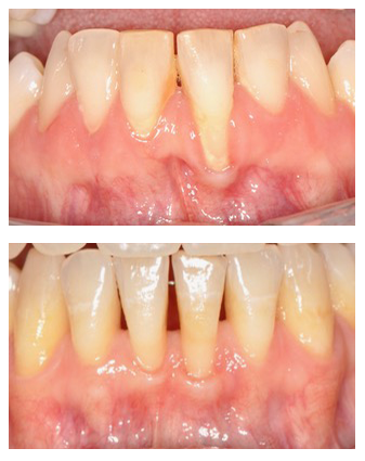
PARODONTIE : CHIRURGIE DE PLEINE ÉPAISSEUR ET CHIRURGIES MUCO-GINGIVALES
Paris | 28-29 janvier, 01-02 avril et 10-11 juin 2026

­ ­ ­
­

Une formation exceptionnelle pour maîtriser la chirurgie parodontale et muco-gingivale, animée par les Docteurs Corinne LALLAM et Chloé BARBANT.

­
­ ­ ­
­
PROGRAMME & INSCRIPTION
­

La formation est proposée en format complet (les 3 modules de 2 jours, soit 6 jours de formation) ou en format "à la carte", avec la possibilité de suivre un ou plusieurs modules de 2 jours selon vos besoins.

  • Module 1 - Élongations coronaires et chirurgies de pleine épaisseur
  • Module 2 - Traitement minimalement invasif des lésions intra-osseuses et greffe gingivale libre
  • Module 3 - Techniques avancées de chirurgie muco-gingivale : lambeaux déplacés et tunnélisation

Protocoles expliqués step by step ; travaux pratiques sur mâchoires animales, démonstrations cliniques.

­
JE M'INSCRIS
­

ENDODONTIE : BONNES PRATIQUES
Paris | 06-07 février & 10-11 avril 2026

­ ­ ­
­

 4 jours de formation pour acquérir les bonnes pratiques et monter en compétence en endodontie. Le Docteur Charlène LESIEUR met toute son expertise au service d’un enseignement ultra qualitatif.
=> Éligible au DPC

­
­ ­ ­
­
PROGRAMME & INSCRIPTION
­
Endodontie

Objectifs pédagogiques

  • Devenir performant en endodontie
  • Assurer une reproductibilité et une qualité optimale des actes endodontiques à travers une actualisation des connaissances
    théoriques et pratiques
  • Révision approfondie des fondamentaux en endodontie en intégrant les dernières avancées techniques et biologiques

Travaux pratiques avec microscope opératoire et démonstrations cliniques ; cas cliniques et protocoles expliqués step by step.

­
JE M'INSCRIS
­
­
ICDP

19 rue Cépré – 75015 Paris
Secrétariat : 07 82 79 81 48
contact@icdp.paris

­
­
­

Vous venez de recevoir la Lettre Dentaire by Dentalformation
La Lettre Dentaire est la lettre de référence de la formation en odontologie diffusée à nos 25k auditeurs. Chaque campagne est dédiée à un seul annonceur !

­ ­ ­
­

Découvrez les formations les plus populaires
Dentalformation accompagne et conseille les sociétés scientifiques
Votre formation mérite d'être vue ! Contactez-nous

­
­ ­ ­
­

Cet email a été envoyé à

Je ne souhaite plus recevoir la Lettre dentaire